Loading...
Loading...
®
Dentmax Banner
Dentmax Banner

İmplant Üstü Vidalı Monolitik Zirkonyum Nedir? | Kırılmaz Estetik Çözüm – DentMax

Dentmax invisailgn
Tedaviler
Online Randevu Oluştur
Dentmax Online Randevu
Dentmax Menü

60 saniyede yeni gülüşünü gör!

Hangi Klinikten İlerlemeyi Tercih Edersiniz?
İstanbul Diş Kliniği

DentMax

İmplant Üstü Vidalı Monolitik Zirkonyum Nedir? | Kırılmaz Estetik Çözüm – DentMax

İmplant üstü vidalı monolitik zirkonyum, estetik ve dayanıklılığı bir araya getiren, implantlara özel üretilen tek parça zirkonyum kaplama sistemidir. DentMax’te, hem arka dişlerde çiğneme kuvvetine dayanıklı hem de ön bölgede doğal görünümlü sonuçlar sağlayan bu sistem, hassas dijital altyapıyla uygulanır ve gerektiğinde kolayca sökülebilir.

Tedavi Özetleri

Dentmax
İŞLEM SAYISI
2-3
Dentmax
İŞLEM SÜRESİ
2-3 gün
Dentmax
ANESTEZİ YÖNTEMİ
LOKAL ANESTEZİ
Dentmax
HASSASİYET
VAR
Dentmax
İŞE DÖNÜŞ SÜRECİ
1 AY
Dentmax
TAM İYİLEŞME SÜRESİ
1 HAFTA
Dentmax
SONUÇ KALICILIĞI
5 YIL
Dentmax
YEME İÇME SÜRESİ
2 SAAT SONRA
İçindekiler

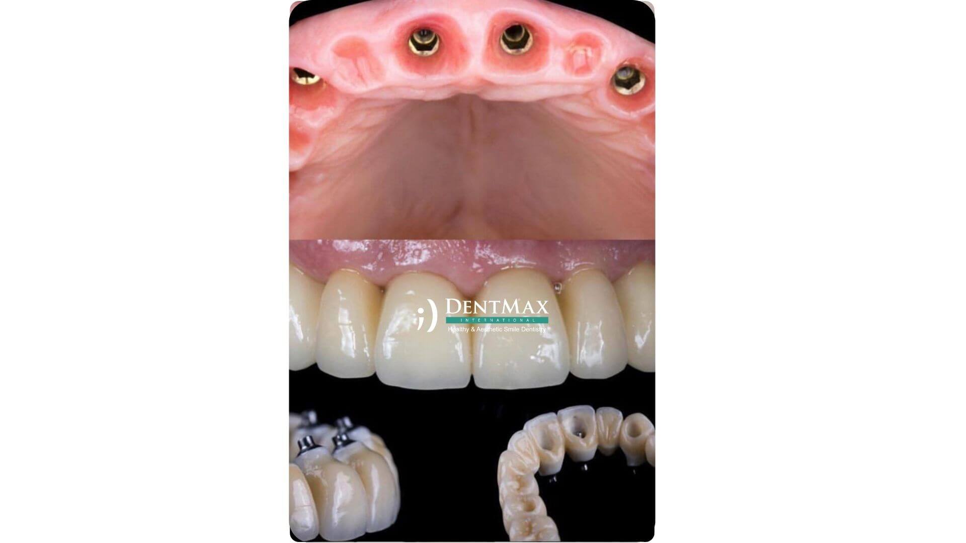
1. Vidalı Monolitik Zirkonyum Nedir?

Zirkonyum bloklardan tek parça olarak frezelenen, implant vidasıyla doğrudan sabitlenen, dayanıklı ve estetik diş kaplamasıdır.

2. Tedavi Süreci Nasıl İlerler?

İmplant entegrasyonu sonrası dijital ölçü alınır. Monolitik zirkonyum CAD/CAM ile hazırlanır, prova sonrası vida kanalı kapatılarak işlem tamamlanır.

3. Fiyatları – Diş Kliniği

Fiyatlar; implant sayısı, zirkonyum tipi ve teknik detaylara göre değişir. DentMax’te şeffaf ve kişiselleştirilmiş fiyatlandırma yapılır.

4. Hangi Durumlarda Tercih Edilir?

Tekli, çoklu veya full-arch implant restorasyonlarında; özellikle kırılma riski olan arka bölge kaplamalarında tercih edilir.

5. Neden DentMax?

Çünkü DentMax’te monolitik zirkonyum restorasyonlar son teknolojiyle frezelenir, mükemmel uyum ve yüksek estetik sağlanır.

6. Monolitik Zirkonyumun Avantajları

Kırılmaya dirençlidir, metal içermez, uzun ömürlüdür ve doğal diş rengine çok yakın estetik sağlar.

7. Sık Sorulan Sorular

Vida kanalı görünür mü? Zamanla renklenme olur mu? Tamamen çıkarılabilir mi? Tüm sorular uzmanlarımız tarafından yanıtlanır.

8. Neden DentMax’i Tercih Etmelisiniz?

DentMax, fonksiyonel konforu ve estetik beklentiyi aynı anda karşılayan vidalı monolitik zirkonyum çözümleriyle fark yaratır.

Kaynakça

icon
Maslak Diş Kliniği

ONLINE RANDEVU

01
02
03
04
05

5 adımda hızlıca randevunu oluştur

Klinik Seçiniz
Doktor Seçiniz

DIŞ
HEKIMLERIMIZ

DENTMAX İLE
İRTİBATA GEÇİN
DentMax İstanbul Ağız ve Diş Sağlığı Polikliniği / invisalign - implant - lamine 0 2125700033
09:00-19:30 PazartesiPazartesiSalıÇarşambaPerşembeCuma-Cumartesi
Karesi / Balıkesir 0 2662460026
08:30-20:00 PazartesiPazartesiSalıÇarşambaPerşembeCumaCumartesi-Pazar

Başvurunuz alınmıştır. En kısa sürede iletişime geçilecektir.

Bağlantı Kopyalandı

The #1 medical tourism platform